友情提示
本站部分转载文章,皆来自互联网,仅供参考及分享,并不用于任何商业用途;版权归原作者所有,如涉及作品内容、版权和其他问题,请与本网联系,我们将在第一时间删除内容!
联系邮箱:1042463605@qq.com
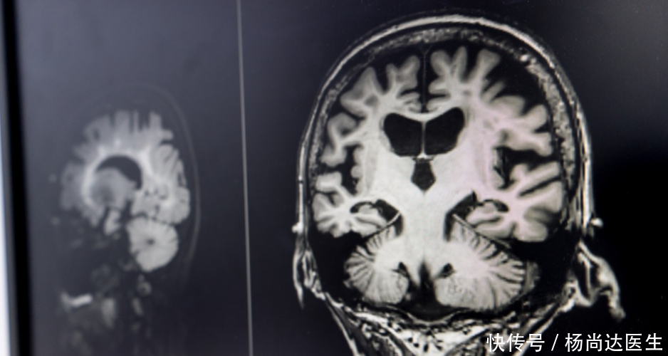
为什么脑梗者男性更多?专家提醒:出现7种症状马上就医
                  37
                  0
                
              相关文章
  近七日浏览最多
    
最新文章
    
标签云
    
             
                        献血
                           
                        治疗
                           
                        脑梗塞
                           
                        脑血管
                           
                        脑梗死
                           
                        四川省
                           
                        呼吸系统疾病
                           
                        中风
                           
                        阿司匹林
                           
                        高血压
                           
                        糖尿病
                           
                        同型半胱氨酸
                           
                        高脂血症
                           
                        脑血管疾病
                           
                        血液循环
                           
                        脑血管病
                           
                        心血管疾病
                           
                        调味料
                           
                        高血脂
                           
                        抗凝治疗
                           
                        急性发作
                           
                        心脑血管病
                           
                        剧烈运动
                           
                        血液粘稠度
                           
                        老年人
                           
                        血管
                           
                        睡眠时间
                           
                        脑中风
                           
                        脂蛋白
                           
                        神经损伤
                           
                        睡眠质量
                           
                        饮食习惯
                           
                        血管堵塞
                           
                        早餐
                           
                        慢性疾病
                           
                        健康
                           
                        糖化血红蛋白
                           
                        血糖控制
                           
                        血糖
                           
                        腹型肥胖
                           
                        糖尿病患者
                           
                        血管狭窄
                           
                        动脉粥样硬化斑块
                           
                        心脑血管
                           
                        并发症
                           
                        胃黏膜
                           
                        心脑血管疾病
                           
                        冠心病
                           
                        头晕头痛
                           
                        吞咽困难
                           
                        紧身衣
                           
                        疾病
                           
                        心理健康
                           
                        便秘
                           
                        肠道
                           
                        mega
                           
                        维生素b12
                           
                        不良习惯
                           
                        血红蛋白
                           
                        胰岛素抵抗
                           
                        膳食纤维
                           
                        人口老龄化
                           
                        中国
                           
                        他汀类药物
                           
                        颈动脉斑块
                           
                        舒张压
                           
                        低血压
                           
                        骑自行车
                           
                        熬夜
                           
                        月薪
                           
                        程序员
                           
                        脑干出血
                           
                        演员
                           
                        话剧
                           
                        陈立中
                           
                        李大娘
                           
                        脑溢血
                           
                        老旦专业户
                           
                        著名表演艺术家
                           
                        冲破黎明前的黑暗
                           
                        网红
                           
                        直播
                           
                        出血
                           
                        阿奎
                           
                        百万粉丝
                           
                        我们来了
                           
                        感染性疾病
                           
                        神经病变
                           
                        曹操
                           
                        袁绍
                           
                        三国演义
                           
                        增强体质
                           
                        脾胃
                           
                        简单任务
                           
                        血脂异常
                           
                        尿酸过高
                           
                        尿酸
                           
                        洋葱
                           
                        杀手
                           
                        海鲜
                           
                        心脏
                           
                        布莱恩
                           
                        科比
                           
                        wnba
                           
                        瓦妮莎
                           
                        儿媳
                           
                        波特兰
                           
                        nba
                           
                        三高
                           
                        胃癌
                           
                        食管癌
                           
                        胃部
                           
                        不吃早餐
                           
                        豌豆
                           
                        茴香
                           
                        维生素e
                           
                        卷心菜
                           
                        叶酸
                           
                        日常饮食
                           
                        提高免疫力
                           
                        过度肥胖
                           
                        湘雅医院
                           
                        原发性高血压
                           
                        一日三餐
                           
                        含糖饮料
                           
                        老年痴呆
                           
                        油炸食品
                           
                        慢性阻塞性肺疾病
                           
                        尼古丁
                           
                        胃溃疡
                           
                        摩托车
                           
                        碱性食物
                           
                        雌激素
                           
                        菠菜
                           
                        饮食
                           
                        牛肉
                           
                        乙肝病毒携带者
                           
                        乙肝病毒
                           
                        乙肝
                           
                        蜘蛛痣
                           
                        肝脏
                           
                        黑木耳
                           
                        腐竹
                           
                        胡萝卜片
                           
                        植物蛋白
                           
                        豆制品
                           
                        优质蛋白
                           
                        绿叶蔬菜
                           
                        性早熟
                           
                        癌症
                           
                        黄芪
                           
                        葛根
                           
                        蜂蜜
                           
                        胆固醇
                           
                        糯米粉
                           
                        卵巢
                           
                        有氧运动
                           
                        力量训练
                           
                        体重
                           
                        柳岩
                           
                        超声检查
                           
                        子宫肌瘤
                           
                        卵巢早衰
                           
                        良性肿瘤
                           
                        白带增多
                           
                        豆腐
                           
                        不饱和脂肪酸
                           
                        胡萝卜
                           
                        护肤品
                           
                        农药残留
                           
                        月经周期
                           
                        备孕
                           
                        海带
                           
                        西兰花
                           
                        皮下组织
                           
                        腐乳
                           
                        千叶豆腐
                           
                        日本豆腐
                           
                        是真的吗
                           
                        血管内皮
                           
                        鸡脯肉
                           
                        红枣
                           
                        黑芝麻
                              



